Лечение кариеса и осложнений после него, устранение воспалительных процессов в области корневых каналов - всем этим занимается терапевтическая стоматология.
Благодаря современным технологиям у сегодняшних врачей-стоматологов в арсенале имеется огромное количество методов для восстановления поражённых тканей зуба. В ассортименте терапевта имеется двадцать цветовых оттенков эмали. Пломба удовлетворит даже самого требовательного клиента, а отличить от натурального зуба её практически невозможно. Сегодня в стоматологических клиниках врачи-стоматологи работают исключительно с новейшими материалами, и только при помощи передовых технологий их применения.

Эндодонтия - это одно из важных направлений терапевтической стоматологии. Она занимается лечением таких заболеваний, как периодонтиты и пульпиты. Важно правильно вылечить корневые каналы. Подготовка канала к пломбированию - это очень серьёзная процедура. С помощью эндодонтического наконечника с апекс-локатором, можно быстро и эффективно осуществлять расширение корневых каналов с точностью 0,5 мм до верхушки корня.
Наряду с другими услугами также стоматологами предлагается процедура депофорез. Этот метод может спасти, казалось бы, самый безнадежный зуб. Происходит она таким образом: водной суспензией гидроокиси меди и кальция происходит стерилизация непроходимых каналов.

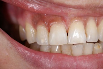
Стоматологические пломбы из светополимерных материалов.
Под светополимерным материалом понимают: светоотверждаемый цемент, композиты, а так же композитные полимеры. Особенностью таких материалов является клеевая система. Клеевая систем за счет активного прилипания к поверхности, позволяет пломбе крепко держаться в зубе. Затвердевание светополимера происходит под воздействием света определенного спектра специальной лампы определенного спектра. Светополимер уникальный материал, и позволяет стоматологу сформировать пломбу, такую, какую ему нужно. Светополимерный материал позволяет производить пломбирование зубов на самые различные поверхности, восстанавливать сколотые фрагменты зубов, а так же формировать пломбу вровень с поверхностью, и точно подбирать цвет.
Стоматологические пломбы из стеклоиономерных цементов.
Цементы нового поколения. Обладает целым рядом положительных свойств: долговечностью, высокой прочностью, устойчивостью к различным воздействиям, а так же, высоким косметическим эффектом. Материалы, которые используются при пломбировании, включают в себя: серебро, сплав ртути, золото, фарфор, цинк и другие.
Как известно от походов в стоматологию отказываются не только дети, но и взрослые. Некоторые люди при виде стоматологического кресла теряют сознание в преддверии невыносимой боли. Спешим вас заверить: всё это в прошлом, ведь, благодаря современным технологиям и профессиональной подготовки врачей, сегодня стоматологические процедуры стали совершенно безболезненными. Не бойтесь стоматологов! Не ждите момента, когда спасать будет нечего! Делайте все своевременно, в том числе и посещение стоматологического кабинета!
